The Hidden Dangers of Hard Brushing: Why Softer Brushes Are Often Better December 12, 2025 You probably grew up being told: “Brush harder and you’ll clean better.” But today dentists are much more likely to say the opposite. Hard brushing
Can Gum Disease Cause Sensitive Teeth? What You Should Know September 17, 2025 Tooth sensitivity is one of those problems that can catch you off guard. A sip of hot coffee, a bite of ice cream, or even
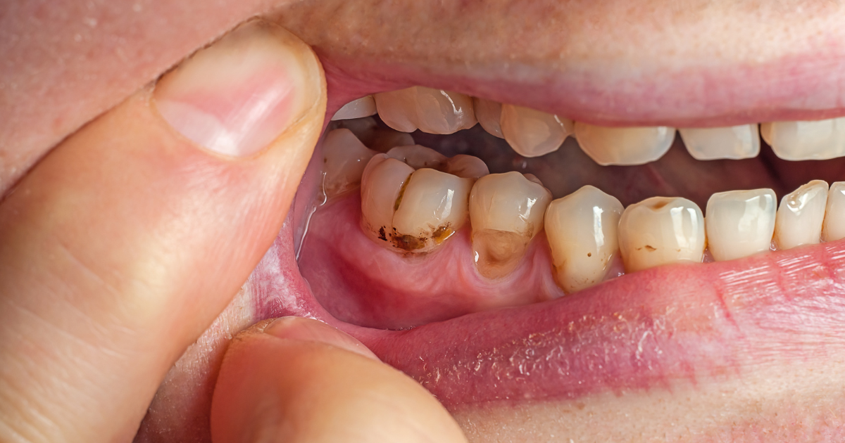
What is Dental Erosion? Things to Know About Dental Erosion, and How to Protect Your Smile September 10, 2025 Dental health is about more than just brushing and flossing regularly. Even if you maintain a strict oral hygiene routine, there’s a silent threat that